Wann bzw. für wen eignen sich Implantate

Immer dann, wenn Zähne fehlen

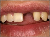
Implantate eignen sich im Prinzip immer dann, wenn aus irgendeinem Grund Zähne verloren gegangen und dadurch Zahnlücken entstanden sind.
Nach der Verteilung und der Größe der Lücken unterscheidet der Mediziner unterschiedlich Lückenklassen.


Wenn einzelne Zähne fehlen (siehe Einzelzahnimplantat)
Wenn größere Lücken vorliegen (siehe Mehrfachimplantationen)
Wenn die hinteren Zähne fehlen (siehe Freiendsituation)
Wenn alle Zähne fehlen (siehe zahnloser Kiefer)
Wenn Zähne nicht angelegt sind (Nichtanlage)
Überführung von instabilen Versorgungen (Freiendbrücken) in stabile Versorgungen

(C) 2008 - Alle Rechte vorbehalten

Diese Seite drucken