Was genau ist ein Implantat?

Künstlicher Zahn aus drei Teilen


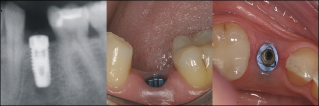
Ein Implantat besteht in der Regel aus reinem Titan und stellt ein der Zahnmedizin den künstlichen Ersatz einer natürlichen Zahnwurzel dar.
Auf das schraubenförmige Implantat wird mit einer Schraube ein Aufbau (Pfosten) geschraubt. Dieser bietet die Basis für den Zahnersatz. Auf den Aufbau wird beispielsweise eine Krone, eine Brücke oder auch andere Halteelemente, wie zum Beispiel ein Teleskop, aufzementiert.


1. Das Implantat



Das Implantat ist der künstliche Ersatz der natürlichen Zahnwurzel


2. Der Aufbau



Auf dieses Implantat wird ein so genannter Aufbau aufgeschraubt. Dieser bekommt seinen Halt über eine spezielle Innenverbindung, oder in seltenen Fällen über eine Außenverbindung. Diese Verbindung bietet den Rotationsschutz des Aufbaus und der Krone.


Die Verbindung Implantat-Aufbau

Die Verbindung zwischen dem Implantat und dem Aufbau (Interface) ist eine entscheidene Stelle für den form- und kraftschlüssigen Verbund der Teile. Sie sollte keine Bewegungen zulassen, eindeutig sein und rotationsschutz für den Aufbau bieten.


Interface Implantat-Aufbau klicken Sie auf die Grafik

3. Die Suprakonstruktion



Die Suprakonstruktion (Krone) ist letztlich das einzige, was später noch im Mund zu sehen ist. Sie wird auf den Aufbau festzementiert oder aber mit dem Aufbau verschraubt.


Einphasig oder Zweiphasig?


Einphasige Implantate=einteilige Implantate
Einphasige Implantate bestehen aus einem Stück und werden daher auch einteilige Implantate genannt. Im Gegensatz zu den zweiphasigen (zweiteiligen) Implantaten ist der Aufbau schon direkt ein festes Teil des Implantates und lässt sich nicht abschrauben.
Einteilige Implantate sind dafür konzipiert, dass sie sofort versorgt werden (Sofortversorgung).


Zweiphasige Implantate=zweitige Implantate
Bei den zweiphasigen Implantaten bestehen der Implantatkörper und der Aufbauaus zwei Teilen, die miteinander verschraubt werden. Der Aufbau wird erst nach der Einheilung des Implantates aufgeschraubt, weshalb man auch von zweiteiligen Implantaten redet.


(C) 2008 - Alle Rechte vorbehalten

Diese Seite drucken