 |
 |
 |
Komplikationen nach der Versorgung
|
Implantatverlust
|
Der Verlust eines Implantates nach der erfolgreichen Einheilung (Osseointegration) ist eine eher seltene Komplikation. Hierfür gibt es zwei Hauptursachen.
|
|
|
1. Fortgeschrittene Entzündung um das Implantat mit dadurch bedingtem Knochenabbau.
Fehlende Nachkontrolle über Jahre hinweg, sowie eine schlechte Mundhygiene können dazu führen, dass sich für den Patienten vollkommen unbemerkt eine fortgeschrittene Entzündung durch mikrobielle Beläge um das Implantat herum ausbreitet. Der Implantologe spricht von einer sogenannten Periimplantitis (Peri = um-/herum, implantat=künstliche Zahnwurzel, -itis=Entzündung). Eine Entkeimung der Implantatoberfäche ist im fortgeschrittenen Stadium, ähnlich wie bei der fortgeschrittenen Parodontitis (=Parodontose), leider wenig erfolgsversprechend.
|
|
|

|
|
|
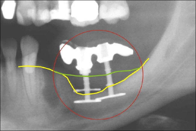
Knochenabbau Die Röntgenaufnahme zeigt den massiven Knochenverlust an zwei Diskimplantaten (zwischen der grünen und der gelben Linie). Die gelbe Linie zeigt den aktuellen Knochenverlauf, die grüne demonstriert den ursprünglichen. Die obere Scheibe an dem linken Diskimplantat ist gar nicht mehr von Knochen umgeben. Die Implantate sollten entfernt werden, um weiteren Knochenabbau zu verhindern.
|
|
|
2. Mechanische Überbelastung des Implantats durch eine statisch ungünstige Versorgung.
Bei statischen Fehlkonstruktionen auf Implantaten ist quasi schon mit dem Einsetzen der Versorgung deren langfristiger Misserfolg besiegelt. Diese Misserfolge sind leider gehäuft, wenn das Einsetzen der Implantate und die Versorgung nicht in einer Hand (Praxis) bleiben. Es ist wie beim alten Sprichwort, wenn mehrere Köche in einem Topf kochen.
|
|
|
Implantatbruch (Implantatfraktur)
|
Ein Bruch des Implantats ist immer die Folge einer mechanischen Überbelastung. Bei den etablierten rotationssymmetrischen Implantaten gehören Brucherscheinungen des Implantats jedoch der Vergangenheit an. Die sogenannten durchmesserreduzierten Implantate sind zwar aufgrund ihres geringen Durchmessers weniger bruchstabil, in bestimmten Situationen, wie beispielsweise zum Ersatz unterer Frontzähne oder oberer seitlicher Frontzähne, jedoch die einzige Möglichkeit. Bei einer fachgerechten Auswahl und Versorgung zeigen auch die durchmesserreduzierten Implantate kein erhöhtes Risiko für Frakturen (Brüche). Bei den heute nicht mehr üblichen Blattimplantaten, wie auch bei den nicht zu empfehlenden Diskimplantaten, waren/sind Brucherscheinungen keine Seltenheit. Der große Nachteil hierbei ist, dass die zwangläufige Entfernung des gebrochenen Implantats oftmals einen erheblichen Knochendefekt hinterlässt.
|
|
|

|
|
|
Andauernde Schmerzen
|
Schmerzen im Bereich der versorgten Implantate sprechen in der Regel für eine Entzündung, sie kommen jedoch äußerst selten vor und sollten in jedem Fall durch den Zahnarzt abgeklärt werden. Im Oberkiefer kann es sein, dass Implantate in der Nähe der Nasen- oder Kieferhöhle Ursache für eine fortgeleitete Infektion sind. Im Unterkiefer kann eine Irritation (Reizung) des sensiblen Unterkiefernervs vorliegen, wenn eine direkte Beziehung Implantat-Nervkanal vorliegt. Mitunter sind auch sogenannte Narbenschmerzen bedingt durch die Schnittführung Ursache für unklare Schmerzen im Bereich der Implantate. Diese treten vor allem bei horizontalen Schnitten in beweglichen Schleimhautzonen auf. Softlaseranwendungen sind in diesen Fällen eine einfache und effektive Maßnahme.
|
|
|
Chronische Entzündung
|
Entzündungen um Implantate zeigen sich durch gerötetes oftmals auch leicht blutendes und geschwollenes Zahnfleisch. Sie sind meistens die Folge von mikrobiellen Plaqueanlagerungen (Belagsanlagerungen). Das Heimtückische hierbei ist, dass der Patient überhaupt keine Schmerzen verspürt und daher auch nicht alarmiert ist, dass etwas nicht stimmt. Die Anlagerungen sollten daher gründlich und regelmäßig entfernt werden, um einen langfristigen und entzündungsfreien Halt der Implantate zu garantieren. Hoch ansetzende Lippen- Wangen- oder Zungenbändchen können ebenfalls zu lokalen entzündlichen Veränderungen des Zahnfleisches führen. Durch das bewegliche Spiel der Bänder entstehen sogenannte Pumpeffekte, wodurch Bakterien in die Taschen zwischen Implantat und Zahnfleisch gepumpt werden. Durch kleine mikrochirurgische Maßnahmen kann der Implantologe jedoch die störenden Bänder beseitigen.
|
 |
|
|
|
Kieferfraktur
|
Fehlende Nachkontrollen und Röntgenkontrollen können dazu führen, dass ein massiver Knochendefekt um Implantate herum auftritt, ohne dass der Patient davon etwas merkt. Dies kann sogar im ungünstigsten Fall dazu führen, dass die Unterkieferspange so stark geschwächt ist, dass sie den normalen Belastungen nicht mehr standhält und es zu einer Kieferfraktur kommt.
|
|
|
Heftiger Knochenabbau (Risiko Kieferfraktur) Das Röntgenübersichtsbild zeigt nichts Gutes. Die dunklen Bereiche um die Implantate (helle "Stifte") spiegeln den daramtischen Knochenabbau wieder. Besonders am ganz rechten Implantat (gelber Kreis) reicht dieser Knochenabbau schon durch den gesamten Unterkeiferkörper. Es besteht hierbei ein sehr hohes Risiko für eine entzündungsbedingte Kieferfraktur (sog. pathologische Fraktur).
|
|
|
(C) 2008 - Alle Rechte vorbehalten |
|
Diese Seite drucken
|