Der Sportunfall

No risk, no fun

Gerade im Risiko liegt bei der Jugend und bei jungen Erwachsenen oftmals der besondere Nervenkitzel. Zahlreiche neue Trendsportarten zielen gezielt auf den "Adrenalinkick" ab, bergen jedoch gleichsam ein sehr hohes Verletzungsrisiko. Und so ist es nicht verwunderlich, dass dies leider auch zu einer gehäuften Anzahl von Zahnverletzungen geführt.



Zu 80% Frontzähne betroffen

Vor allen die oberen Frontzähne sind mit rund 80% am meisten betroffen. Nicht selten führen die Frakturen (Brüche) an den Frontzähnen dazu, dass die Zähne auf Dauer nicht erhalten werden können. Gerade Sportarten wie Inline-Skating, Reiten, Kampfsport, Hockey, Handball und Mountainbiking bergen ein erhebliches Verletzungsrisiko, wesshalb dabei zunehmend auch der Einsatz eines Mundschutzes empfohlen wird.
In der Praxis findet parallel mit der Zunahme an neuen Trendsportarten immer mehr junge Leute mit unfallbedingten Zahnlücken wieder, die medizinisch besonders sinnvoll mit Hilfe von Implantaten zu versorgen sind, da die Nachberzähne in aller Regel Kerngesund sind und somit auf ein Beschleifen der gesunden Zähne verzichtet werden kann.


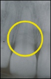
Wurzelbruch nach Sportunfall Das Röntgenbild zeigt die Bruchlinie in der Miitte des gelben Kreises als schwaze dünne Linie horizontal verlaufend.

(C) 2008 - Alle Rechte vorbehalten

Diese Seite drucken