Die Ursachen

Volkskrankheiten Karies und Parodontose

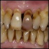
Die mit großem Abstand häufigsten Ursachen für Zahnverlust sind Karies und die Parodontitis, im Volksmund auch Parodontose.
Karies ist die Erkrankung des Zahnes selber, Parodontitis, im Volksmund auch Parodontose genannt, ist die Erkrankung des Zahnhalteapparates, also das, was den Zahn fest mit dem Kieferknochen verbindet. Beides sind bakteriell bedingte und damit vollkommen vermeidbare Erkrankungen!
Für die Behandlung dieser Erkrankungen ist es entscheidend zu wissen, das sie nicht schicksalsbedingt sind.
Schlechte Zähne sind nicht angeboren, werden aber von Unkundigen häufig als Ursache für die Erkrankung genannt.


Der Mediziner unterteilt in

pathologisch (durch eine Erkrankung) bedingten Zahnverlust - hierzu zählt Karies und Parodontose
traumatisch (durch einen Unfall) bedingten Zahnverlust
genetisch bedingte Zahn-Nichtanlage - ein Entwicklungsdefekt



Die 4 Gründe für Zahnverlust

Karies Karies ist eine durch Bakterien verursachte Infektionserk...



Parodontose Die Parodontose, oder wie der Mediziner sagt Parodontitis...



Der Sportunfall Gerade im Risiko liegt bei der Jugend und bei jungen Erwa...



Die Nichtanlage Die Nichtanlage von Zähnen ist relativ selten. Mit geneti...




(C) 2008 - Alle Rechte vorbehalten

Diese Seite drucken