Brücken
Eine Brücke ist ein Hilfsmittel
Eine Brücke dient dazu, fehlende Zähne zu ersetzen. Dazu müssen jedoch die lückenbegenzenden Zähne zwangsläufig beschliffen werden. Für Patienten klingt es allzu harmlos, wenn der Arzt sagt, "da machen wir eine Brücke und dazu müssen die beiden Nachbarzähne beschliffen werden".
Beschliffene Zähne = Verletzte Zähne
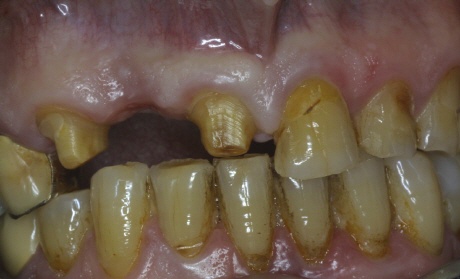
Für einen fehlenden Zahn müssen zwei gesunde Zähne beschliffen werden. Zum Größenvergleich: Der rechte beschliffene Zahn war vor dem Beschleifen mal genauso groß wie der Zahn rechts neben ihm! Mit Hilfe von Implantaten läßt es sich fast immer vermeiden, dass gesunde Zähne beschädigt werden. Sie sind daher medizinisch in der Regel das Mittel der Wah.l
Wissenschaftliche Studien zur Überkronung
Wissenschafliche Langzeitstudien belegen, dass die Spätschäden nach dem Beschleifen von natürlichen Zähnen sich erst nach Jahren zeigen. Die häufigsten sind in der folgenden Tabell dargestellt.
| Komplikationen | nach 10 Jahren |
| Extraktion = einer der beschliffenen Zähne muß entfernt werden | 3-5 % |
| Vitalitätsverlust = toter Zahn (der beschliffene Zahn ist durch das Schleiftrauma, also durch das beschleifen abgestorben) | 10-15 % |
| Apicale Parodontitis = Entzündungen an der Wurzelspitze des überkronten Zahnes als Folge des Vitalitätsverlusts | 5 % |
| Randkaries = Karies am Rand der Krone des beschiffenen Zahnes | 10-15 % |
Prinzip Brücke
Für den Ersatz nur eines fehlenden Zahnes müssen mindestens zwei Zähne beschliffen werden (blaue Pfeile). Mit Hilfe der Brücke wird nur die Krone des fehlenden Zahnes ersetzt. Die Brücke wird auf die beschliffenen Zähne quasi aufgesetzt (rote Pfeile) und festzementiert. Die Kaukraft wird nun auf die beiden Zähne (Pfeilerzähne) verteilt.
