Implantatsystem
Weltweit über 400 Implantatsysteme
Heute gibt es mehrere Hundert verschiedene Implantatsysteme. Weltweit durchgesetzt haben sich dabei die rotationssymmetrischen Implantatsysteme (Zylinderimplantate/ Schraubenimplantate)
Diese lassen sich vergleichen mit unterschiedlichen Autoherstellern. Zu bevorzugen sind für den "eher konservatiben Patienten" in jedem Fall etablierte Systeme, die schon seit Jahrzehnten bestehen. Diese Systeme haben sich in der Praxis bewährt und "funktionieren". Jedes Jahr kommen neue Implantathersteller auf den Markt und bieten oftmals „billige“ Systeme an, die jedoch auch, wie bei einer neuen Automobillinie, leider alle Kinderkrankheiten in sich haben. Zudem kommt die Ungewissheit, ob sich das neue System auch langfristig im Wettbewerbsmarkt halten kann. Ein eingestelltes System hat zur Folge, dass auch keine Implantataufbauteile mehr bestellt werden können und damit ein Implantat im ungünstigsten Fall nicht mehr als Pfeiler zur Verankerung eines Zahnersatzes (Krone, Brücke) nutzbar ist.
Neuerdings gibt es einige junge Implantatsysteme, die die Vorteile von etablierten Sytemen übernommen haben ("Nachbau") und durch die eingesparten Entwicklungskosten die Implantate deutlich günstiger anbieten können (unter 100 €). Jedoch gibt es in der Regel keine größeren Langzeitstudien zu diesen Implantat-Systemen. Langfristig wäre es wünschenswert, wenn die Materialkosten für Implantate insgesamt niedriger würden und somit noch mehr Patieneten mit Zahnimplantaten versorgt werden könnten.
Blattimplantate und Diskimplantate
Eher eine Außenseiterrolle bei den verfügbaren Implantatsystemen stellen heute die sogenannten Blatt- und Diskimplante dar. Gegenüber den weltweit am meist vertretensten rotationssymmetrischen Implantaten (Schrauben-/ Zylinderimplantaten) sind die vorhergenannten Implantattypen nur schwach vertreten. In Deutschland gibt es daher nur wenige Anwender von Blatt- und DIskimplantaten.
Blattimplantate
Blattimplantate haben ihren Namen durch ihre „blattdünne“ Form erhalten. Die sind in der vertikalen Richtung ausgedehnt, jedoch nur wenige Millimeter dick, weswegen sie in der Vergangenheit häufig bei Belastungen gebrochen sind (Komplikation Implantatfraktur).
Der große Nachteil besteht zum einen in der schlechten Aufbereitungsmöglichkeit des Implantatlagers (Passungenauigkeiten) und in der extrem schlechten Entfernbarkeit der Blattimplantate, was häufig einen großen Knochenverlust für den Patienten bedeutet.
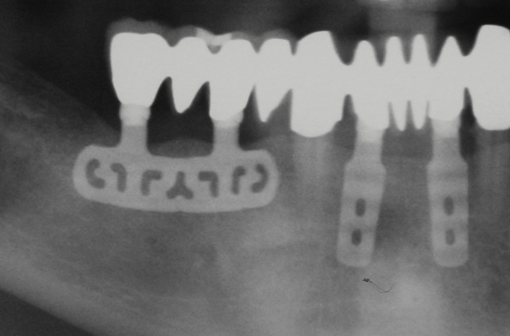
Diskimplantate
Diskimplantate sind scheibenförmige Implantate, die in der Horizontalen ausgedehnt sind. Sie hatten nach Angaben aus der Fachliteratur zumindest in der Vergangenheit wie die Blattimplantate dieselben Nachteile, eine hohe Bruchgefahr und eine schlechte Entfernbarkeit, die bei Entzündungen leider oftmals mit großen Knochenverlusten einherging.
Der Vorteil der Diskimplantate besteht nach Angaben des Herstellers in der Sofortbelastung durch die breitbasige Auflage, sowie der Einsatzmöglichkeit bei nur geringer Knochenhöhe.
Die leicht schräge Röntgenaufnahme (rechts) zeigt den Aufbau eines Diskimplantates.


