Sofortimplantation
Der Begriff Sofortimplantation bedeutet, dass in das Zahnfach eines direkt zuvor entfernten Zahnes ein Implantat sofort (also direkt) eingesetzt wird.
Leider ist dies nur in sehr seltenen Fällen und mit idealen Voraussetzungen möglich, denn es darf weder eine Entzündung im Knochen vorhanden sein noch darf die Knochenstruktur des ehemaligen Zahnfachs verletzt sein, da sonst das ästhetische Ergebnis unvorhersehbar ist.
Frontzahntrauma
Der besondere Reiz am Nervenkitzeln hat in den letzten Jahren dazu geführt das Trendsportarten wie beispielsweise Inliner fahren immer beliebter werden. Parallel dazu sind traumatische (unfallbedingte) Verletzungen der Zähne immer häufiger geworden. In über 80 % der Fälle sind die oberen Frontzähne betroffen.
Folge eines Unfalls - Wurzelquerfraktur
Das Röntgenbild zeigt es deutlich als schwarze Linie in der Mitte der Wurzel (gelber Kreis). Der Zahn in der Mitte der Wurzel ist quer gebrochen. Im Mund (links) zeigt sich eine in der Position veränderte Krone (der Mediziner nennt das luxiert), die zudem beweglich ist.
Zahnentfernung
Der Zahn ist durch seine Fraktur (Bruch) nicht zu erhalten und wird schonend entfernt. Auf dem rechten Bild sieht man die beiden Fragmente (Krone und Wurzelende), links die Situation direkt nach der Zahnentfernung.
Sofortimplantation
Da in diesem Fall die Knochenstruktur komplett erhalten war, konnte in das Zahnfach direkt ein passendes Implantat eingebracht werden. Das linke Bild zeigt die optimale Positionierung, der Hilfspfosten (Einbringpfosten) des Implantates ist noch auf dem Implantat moniert.
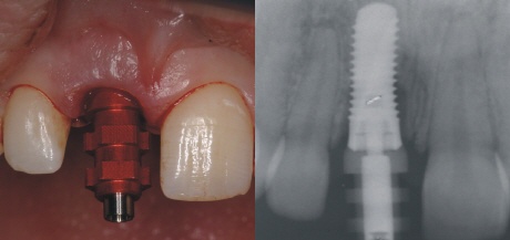
Abformpfosten
Auf das Implantat wird ein sogenannter Abformpfosten montiert, mit dessen Hilfe man die Position des Implantates auf ein Gipsmodell übertragen kann. Der perfekte Sitz des Pfostens wird mit einem Röntgenbild kontrolliert.
Abformung
Mithilfe einer Abformmasse wird die Implantatposition abgeformt. Das rechte Bild zeigt den zuvor auf dem Implantat montierten Pfosten nun in der aus dem Mund genommenen Abformung. Diese dient zu Herstellung eines Gipsmodells, welches die genaue Mundsituation wiedergibt. Der Zahntechniker fertigt nun auf dem Gipsmodell eine provisorische Krone an.
Sofortversorgung
Am folgenden Tag wird eine provisorische Krone auf das Implantat eingesetzt (links). Die Röntgenkontrolle (rechts) zeigt den perfekten Sitz der Krone. Sie ist vor allem ein ästhetischer Ersatz, da Belastungen in der Einheilphase möglichst vermieden werden sollten, um ein erfolgreiches Einheilen des Implantates zu gewährleisten. Nach der Einheilzeit wird unter ästhetischen und funktionellen Gesichtspunkten eine definitive Krone hergestellt.
