Komplikationen direkt nach der Operation
Wundschmerzen
Das Einbringen von Implantaten entspricht in aller Regel einem kleineren chirurgischen Eingriff in der Mundhöhle. Die Wundschmerzen lassen sich bei der Anwendung von minimalinvasiven Techniken (schonende Verfahren) vergleichen mit einer einfachen Zahnentfernung. Jedoch ist der Schmerz eine sehr subjektive Empfindung, das heißt die Wahrnehmung und der Umgang mit dem Schmerz kann bei verschiedenen Patienten sehr unterschiedlich sein.
Geeignete Schmerzmittel können den Wundschmerz vollkommen ausschalten. Dabei sind blutverdünnende Mittel wie beispielsweise ASS (Acetylsalycilsäure) zu meiden, um unerwünschte Nachblutungen an der Operationsstelle zu verhindern.
Zu bevorzugen sind vor allem antiphlogistische Analgetika (antientzündlich wirkende Schmerzmittel wie Ibuprofen) die neben der Schmerzausschaltung noch einen schwellungshemmenden Effekt haben.
Hier erfahren Sie, wie Sie sich optimal nach einem implantologischen Eingriff verhalten.
Wundinfektion
Die Mundhöhle ist ein physiologisch (normal) bakteriell besiedelter Raum. Daher ist es nie auszuschließen, dass sich der Wundbereich durch Bakterien infiziert.
Leichtere Infektionen zeigen sich durch Rötungen der Wundränder, die Schwellung ist etwas mehr als üblich. Antibakterielle Spüllösungen helfen, die Entzündung schneller zum Abklingen zu bringen.
Stärkere Wundinfektionen verursachen erhöhte Schmerzen, einen starken Druckschmerz an der Operationsstelle und Begleiterscheinungen wie leicht erhöhte Temperatur, stärkere Schwellung, vergrößerte Lymphknoten im Kieferwinkelbereich sowie oftmals eine reduzierte Mundöffnung. In diesem Fall sind Bakterien in den ansonsten sterilen Bereich unterhalb der Schleimhaut gelangt und haben dort eine heftige Immunantwort (Entzündung) des Körpers ausgelöst. Der Organismus versucht dabei, die Bakterien abzukapseln, dabei kommt es oftmals zu einer eitrigen Einschmelzung. Die Behandlung besteht darin, Abfluss für den Eiter zu schaffen und eine weitere bakterielle Ausbreitung durch die Gabe eines Antibiotikums zu verhindern.
Bei Patienten mit einer reduzierten Abwehrlage sind Wundinfektionen häufiger, ebenso ist das Risiko bei starken Rauchern, gerade in Verbindungen mit umfangreichen Knochenaufbauten, deutlich erhöht.
Schwellung
Die Schwellung ist eine vollkommen normale Reaktion nach einem operativen Eingriff in der Mundhöhle und je nach Umfang und Dauer sehr stark unterschiedlich ausgeprägt. Hinzu kommt eine individuell ebenfalls stark unterschiedliche Neigung zu einer Wundschwellung.
Möglichst schonende Operationstechniken vermindern die postoperative (nach einer Operation auftretende) Schwellung ebenso wie die routinierte und zügige Vorgehensweise des Implantologen.
Die intermittierende (mit kurzen Unterbrechungen) stattfindende Kältezufuhr (Kältepacks, kalter Waschlappen) für zwei bis drei Tage lindert am effektivsten die Schwellung. Schwellungshemmende Schmerzmittel können ebenso wie ein Ananasenzym (Bromelain) zusätzliche Dienste leisten. Auch homöopathische Mittel wie Arnica werden mitunter empfohlen. Bei umfangreicheren Eingriffen ist der kurzzeitige Einsatz von Kortisonpräparaten sehr effektiv und ratsam.
Während die weiche und weitestgehend schmerzlose Schwellung normal ist, ist die gespannt wirkende und pralle, feste Schwellung ein Zeichen für eine Wundinfektion, die einer weiteren Behandlung bedarf.
Nachblutungen
Blutungen nach Implantationen sind sehr viel seltener als nach Zahnentfernungen, da es sich hierbei nicht um einen offenen Wundbereich handelt, sondern in der Regel ein dichter (sogenannter primärer) Wundverschluss vorliegt. Kleinere Blutmengen vermischt mit Speichel wirken mitunter für den Patienten dramatischer als sie in Wirklichkeit sind und können für die ersten Tage nach der Operation durchaus vorkommen. Bei einem regelrechten Wundverschluss ist es nur selten erforderlich, durch Druckeinwirkung (Kompressen) oder sogar zusätzliche Wundnähte Blutungen zu stoppen.
Nachblutungen können durch bestimmte Medikamente (ASS, Heparin, Marcumar u.a.) begünstigt werden, was jedoch schon vor der Operation berücksichtigt werden sollte.
Bei jeglichen Bedenken sollte in jedem Fall der Implantologe aufgesucht werden. Um alle Sorgen im voraus zu minimieren, lebensbedrohliche Nachblutungen nach Implantationen in der Mundhöhle sind eine absolute Rarität.
Hämatom
Das Auftreten von Hämatomen ist stark vom Bindegewebstyp des Patienten abhängig. Gerade bei älteren Patienten mit einem lockeren und fragilen Bindegewebe treten Hämatome öfter auf. Meist wissen die Patienten selbst sehr genau, ob sie zu blauen Flecken neigen. Die Hämatome sacken entsprechend der Schwerkraft in den Bindegewebsschichten nach unten ab und durchlaufen viele Farbstufen bis sie dann nach 1-2 Wochen wieder abgeklungen sind.
Wenn im Unterkiefer implantiert wird, tritt das Hämatom in der Regel zuerst im Wangen-Kieferwinkelbereich auf und wandert dann den Hals hin ab bis zum Brustbein.
Oftmals sind Patienten erschrocken, wenn sich nach dem Einsetzen von Implantaten im Oberkiefer am Folgetag ein blaues Auge zeigt.
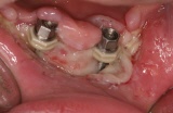
Implantatlockerung/ Implantatverlust
Nach dem Einbringen eines Implantates beginnt die sogenannte Einheilphase, die in der Regel zwischen zwei bis fünf Monate lang dauert. Sie ist die kritische Phase, weil in dieser Zeit die meisten Implantate verlorengehen.
Eine Implantatlockerung kurz nach dem Einsetzen eines Implantates kann zwei unterschiedliche Ursachen haben.
Zum einen eine zu geringe Primärstabilität (primärer Halt des Implantates selbst) im Zusammenhang mit einem Knochenaufbau. Das bedeutet, dass das Implantat im ortsständigen noch vorhandenen Knochen nicht ausreichend Halt findet. Vergleichen wir es mit eine Schraube in einer Wand. Während eine 3 cm lange Schraube in einer 1 cm dicken Wand zwar auf der anderen Seite herausguckt, hat sie in der Wand dennoch soviel Stabilität, dass sie sich selbst halten kann. In einer papierdünnen Wand dagegen ist der Halt selbst für das Gewicht der Schraube nicht mehr ausreichend, sie ist mobil.
Zum anderen können heftige entzündungsbedingte Knochenabbauprozesse dazu führen, dass ein vorerst fest sitzendes Implantat locker wird. Die Ursache hierfür ist eine Schädigung des Implantatlagers beim Aufbereiten des Bohrlochs durch starke Hitzeentwicklung.
Diese kann auftreten bei
- sehr traumatischer (nicht schonender) Vorgehensweise
- unzureichender Kühlung der Instrumente
- Verwendung von stumpfen Bohrern
- zu hoher Bohrgeschwindigkeit
- zu hoher Druck auf die Instrumente
- zu hohes Drehmoment beim Einschrauben des Implantates
Trotz schonensster Aufbereitung des Implantatlagers (Bohrlochs) bleibt eine minimale Schädigung von Knochenstrukturen nie aus. Daher ist bei einer Implantatlockerung nicht zwangsläufig auf einen ärztlichen Fehler zu schließen.
Es muss von Fall zu Fall entschieden werden, ob das Implantat entfernt werden muss oder aber die Möglichkeit einer Festigung besteht. Wenn das Implantat entfernt wird, sollte 6-8 Wochen gewartet werden, bis an dieselbe Stelle erneut ein Implantat eingebracht wird.
In seltenen Fällen kann sich bei der offenen Einheilung (d.h. das Implantat heilt also nicht unter der geschlossen Schleimhaut ein, sondern ragt mit der Schulter in die Mundhöhle) die Abdeckschraube (Verschlussschraube) lösen. Dies führt nicht selten zu einer verständlichen Beunruhigung des Patienten, weil er glaubt, dass ganze Implantat sei locker. Ein wieder Festschrauben der Kappe durch den Implantologen löst in Sekundenschnelle das Problem.
Bißverletzung
Nach der Operation wirkt die Anästhesie (Spritze) noch einige Stunden nach. Unvorsichtigkeiten können dazu führen, dass es zu selbstverursachten teils schweren Biss-Verletzungen in der Lippenregion kommt. Das Trinken von heißen Getränken kann wegen der fehlenden Sensibilität zu Verbrennungen führen und sollte daher bis zum vollständigen Abklingen der Anästhesie vermieden werden.


