Textversion
Wieso fehlen Zähne? Implantate Lösungen Vom Plan zum Zahn Risiken & Komplikationen Spezialisten
Startseite Wieso fehlen Zähne? Die Ursachen Parodontose

Wieso fehlen Zähne?


Die Ursachen Die Folgen

Karies Parodontose Der Sportunfall Die Nichtanlage

Patientenforum Ratgeber Zahnimplantate Implantate im Ausland ? Aktuelle News Tagespresse Zahnimplantate Links Sitemap Kontakt Impressum Datenschutz

Parodontose

Volkskrankheit Parodontose

Die Parodontose, oder wie der Mediziner sagt Parodontitis, ist eine Erkrankung des Zahnhalteapparates. Aktuelle Studien zeigen, das 75% der Bevölkerung an Parodontose leiden, damit ist diese die häufigste Ursache für den Zahnverlust.
Das heimtückische der Erkrankung ist dabei, dass der Krankheitsverlauf in aller Regel keine Schmerzen verursacht.

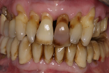
Die Folgen der Parodontose

Bild der Zerstörung

Durch mikrobielle Beläge (vor allem agressive Bakterien, sogenannte "Killerkeime") kommt es zum Abbau des gesamten Zahnhalteapparates. Die Folgen: die Zähne werden optisch immer länger und immer beweglicher, bis letztenendes das ganze "Kartenhaus" zusammenfällt.

Der Feind in der Tasche

Vorsicht Tasche!

Das Röntgenbild zeigt den massiven Knochenverlust als schwarze Lücke.

Parodontose wird durch Mikrobakterien in den Zahnfleischtaschen verursacht, die eine Entzündung des Zahnhalteapparates und des umliegenden Knochens verursachen. Sie ist von großer aktueller Bedeutung, denn mehr als zwei von drei Menschen leiden beispielsweise an einer Zahnfleischerkrankung, die nicht nur häufig zum Zahnverlust führt, sondern daneben auch der größte einzelne Risikofaktor für koronare Herzerkrankungen ist und unsere Gesamtgesundheit schädigt.

Risiko für die Gesundheit

Eine große amerikanische Reihenuntersuchung hat gezeigt, dass Patienten mit einer chronischen Zahnfleischbehandlung ein um 25% ! höheres Risiko haben, einen Herzinfarkt oder eine andere thrombosebedingte Komplikation (z.B. Schlaganfall) zu erleiden. Mittlerweile weiß man, dass die Bakterien, die Zahnfleischentzündungen verursachen, für dieses Risiko mitverantwortlich sind.
Eine andere große Untersuchung konnte zeigen, dass eine schwere Parodontitis ein höheres Risiko für untergewichtige Frühgeburten darstellt, als bekannterweise bei Raucherinnen oder sogar bei Alkoholikerinnen!

Viele wissenschaftliche Studien können zeigen, dass eine nicht behandelte Parodontose unter anderem mit folgenden Allgemeinerkrankungen zusammenhängt.

Mehr zum Thema Parodontose

Alles zum Theman Parodontose finden Sie auf unserer Partnerseite parodontose-wissen.de!

Drucken