Die Ursachen
Volkskrankheiten Karies und Parodontose
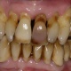
Die mit großem Abstand häufigsten Ursachen für Zahnverlust sind Karies und die Parodontitis, im Volksmund auch Parodontose.
Karies ist die Erkrankung des Zahnes selber, Parodontitis, im Volksmund auch Parodontose genannt, ist die Erkrankung des Zahnhalteapparates, also das, was den Zahn fest mit dem Kieferknochen verbindet. Beides sind bakteriell bedingte und damit vollkommen vermeidbare Erkrankungen!
Für die Behandlung dieser Erkrankungen ist es entscheidend zu wissen, das sie nicht schicksalsbedingt sind.
Schlechte Zähne sind nicht angeboren, werden aber von Unkundigen häufig als Ursache für die Erkrankung genannt.
Der Mediziner unterteilt in
- pathologisch (durch eine Erkrankung) bedingten Zahnverlust - hierzu zählt Karies und Parodontose
- traumatisch (durch einen Unfall) bedingten Zahnverlust
- genetisch bedingte Zahn-Nichtanlage - ein Entwicklungsdefekt




